The risk factors of early hemorrhage after emergency intravenous thrombolysis in patients with acute ischemic stroke
Introduction
Acute ischemic stroke (AIS) accounts for about 60–80% of strokes (1). Globally, it has been of significant concern to the medical community because of its high morbidity, disability, mortality, recurrence, and high medical costs. Intravenous thrombolysis with alteplase (rt-PA) within 4.5 hours of onset remains an effective treatment to significantly improve the prognosis of patients. Therefore, it is of top priority to initiate intravenous thrombolytic therapy as soon as possible in patients with AIS. At present, guidelines for stroke management consistently recommend that the door-to-needle time (DNT) should be within 60 minutes (2,3). In order to reduce the delay caused by in-hospital procedures, many researchers are continuing to improve the emergency intravenous thrombolysis procedures for ischemic stroke. This significantly reduces the time to hospital admission for intravenous thrombolysis (4,5). However, the risk of hemorrhage in the early stage of thrombolysis still exists, including peripheral hemorrhage such as hemorrhage of the gums, skin, digestive system, urinary system, respiratory tract, and intracranial hemorrhage. Intracranial hemorrhage is the most serious complication. Once intracranial hemorrhage occurs, the patient’s clinical prognosis is poor (6). Peripheral hemorrhage events generally occur during thrombolysis or early post-thrombolysis. Timely observation and proper treatments are key to ensuring the smooth progress of thrombolytic therapy. Meanwhile, some peripheral hemorrhages may also indicate the possibility of a secondary intracranial hemorrhage. Thus, it is very important to determine the risk factors for hemorrhage after thrombolysis. After literature review, we found that most studies in recent years mainly focused on the analysis of risk factors for intracranial hemorrhage after intravenous thrombolysis. There are few reports on the incidence of complications and early predictive indicators of systemic hemorrhage after emergency thrombolysis. Therefore, the relevant factors before intravenous thrombolysis in AIS patients were collected and analyzed in this study. The identification of predictive risk factors for hemorrhage after intravenous thrombolysis can provide research support for clinical nurses to assess hemorrhage risk and prevent hemorrhage. We present the following article in accordance with the STROBE reporting checklist (available at http://dx.doi.org/10.21037/apm-21-1200).
Methods
Patients
The clinical data of 237 rt-PA intravenous thrombolysis-treated AIS patients referred from the advanced stroke center of the emergency department to the Department of Neurology of a tertiary grade hospital from January 2018 to May 2020 were collected. Inclusion and exclusion criteria were determined in reference to the recommendations of intravenous thrombolysis in the “Chinese Guidelines for the Diagnosis and Treatment of Acute Ischemic Stroke 2014”. Patients transferred to another hospital and discharged from the emergency department after intravenous thrombolysis were excluded from the study. All procedures performed in this study involving human participants were in accordance with the Declaration of Helsinki (as revised in 2013). The study was approved by ethics board of Affiliated Hospital of Nantong University (No.: 2019-K003 the registration number of ethics board). Individual consent for this retrospective analysis was waived.
Study methods
Clinical data collection
The general information and emergency department assessment information (time from onset to hospital, time from admission to thrombolysis, blood pressure before and after thrombolysis, national institutes of health stroke scale (NIHSS) score, Glasgow coma scale (GCS), medical history, including history of hypertension, coronary heart disease, diabetes, atrial fibrillation, stroke, and pre-thrombolysis laboratory indicators, including blood glucose, uric acid, blood coagulation function, platelets, as well as the use of antiplatelet drugs, anticoagulants were collected before thrombolysis.
Intravenous thrombolysis
All patients received intravenous rt-PA within 4.5 hours of onset (50 mg or 20 mg/branch dry powder). The dosage was calculated at 0.9 mg/kg (maximum dose was 90 mg), 10% of the drugs were injected intravenously within the first minute, and the remaining 90% were injected with 100 mL normal saline for 1 hour.
Hemorrhage record
Hemorrhage at different sites within 24 hours of thrombolysis was counted, including intracranial hemorrhage (symptomatic and non-symptomatic hemorrhage) (7,8) and peripheral hemorrhage (hemorrhage of the gums, oral mucosa, skin and mucosa, nose, digestive system, and urinary system). The diagnosis of intracranial hemorrhage during intravenous thrombolysis or within 24 hours after thrombolysis was based on head CT/MRI examination when the patient’s clinical symptoms were aggravated (9). In this study, all hemorrhage after thrombolysis was spontaneous.
Statistical analysis
SPSS 25.0 software was used for data analysis. The measurement data with a normal distribution was expressed as and analyzed with the t test. The measurement data of skewness distribution was expressed by M (P25, P75) and analyzed with the rank-sum test. Count data were expressed as percentages and analyzed with the chi-square test. Risk factors associated with hemorrhage within 24 hours after intravenous thrombolysis were analyzed by logistic regression. P<0.05 was considered statistically significant. Receiver operating characteristic (ROC) curves were drawn according to the sensitivity and specificity of independent risk factors.
Results
General information of the patients
A total of 237 patients were included in this study, aged between 24–92 (66.98±11.2). There were 146 males (61.6%) and 91 females (38.4%). According to whether hemorrhage occurred within 24 h after thrombolysis, the patients were divided into 2 groups: non-hemorrhage group and hemorrhage group. The non-hemorrhage group had 146 cases, and the hemorrhage group had 91 cases. There were 26 cases (10.97%) of intracranial hemorrhage, in which symptomatic intracranial hemorrhage accounted for 6 cases. There were also 47 cases (19.83%) of gingival hemorrhage, 10 cases (4.22%) of oral mucosal hemorrhage, 3 cases (1.27%) of hematemesis, 2 cases (0.84%) of skin ecchymosis, 2 cases (0.84%) of hematuria, and 1 case (0.42%) of nosebleed. Peripheral hemorrhage occurred in 47 cases during thrombolysis, and peripheral hemorrhage occurred in 16 cases 4 h after thrombolytic therapy. Intracranial hemorrhage occurred after peripheral hemorrhage in 9 cases. The duration of emergency stay in the hemorrhage group was 8.00 (4.50, 17.00) h, while the duration in the non-hemorrhage group was 5.50 (3.00, 13.63) h (Z=−2.247, P=0.025).
Univariate analysis of hemorrhage after intravenous thrombolysis
Univariate analysis showed that NIHSS score on admission, GCS score on admission, systolic blood pressure before thrombolysis, atrial fibrillation, platelet count, and antiplatelet drugs were related risk factors for hemorrhage within 24 hours after intravenous rt-PA thrombolysis in patients with AIS (Table 1).

Full table
Multivariate analysis of hemorrhage after intravenous thrombolysis
An analysis of the independent risk factors associated with hemorrhage after intravenous thrombolysis is shown in Table 2. The specificity and sensitivity of risk factors were plotted into ROC curves, as shown in Table 3 and Figure 1.

Full table

Full table
Multivariate analysis showed that atrial fibrillation was significantly associated with hemorrhage after thrombolysis. Systolic blood pressure before thrombolysis, platelet count, and antiplatelet agents were significantly correlated with hemorrhage after intravenous thrombolysis. The results of the ROC curve and area under the curve showed that the degree of sensitivity of risk factors from high to low was: atrial fibrillation, systolic blood pressure before thrombolysis, platelet count, and antiplatelet drugs.
Discussion
Hemorrhage is the most common complication after intravenous thrombolysis with rt-PA (10). In the 237 patients in this study, the incidence of total hemorrhage after thrombolysis was 38.84%, and the incidence of intracranial hemorrhage was 10.97%, which was consistent with literature reports (10,11). Statistical analysis of general data, hemorrhage related indicators, and hematological examination results of patients with AIS before intravenous thrombolysis showed that systolic blood pressure, atrial fibrillation, platelet count, and the use of antiplatelet agents were independent risk factors for post-intravenous thrombolysis hemorrhage.
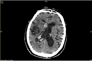
Atrial fibrillation is an important risk factor for ischemic stroke, and about 25% of ischemic stroke patients have atrial fibrillation (12). Lee et al.’s study showed that previous history of atrial fibrillation was an independent risk factor for intracranial hemorrhage after intravenous thrombolysis. Patients with ischemic stroke accompanied by atrial fibrillation were often treated with anticoagulant therapy, and the incidence of intracranial hemorrhage was significantly increased (13-15). In this study, the results of logistic regression analysis showed that atrial fibrillation was an independent risk factor for hemorrhage after thrombolysis, which was consistent with literature reports (16,17). It is suggested that for ischemic stroke patients with atrial fibrillation, clinical nurses should closely monitor the occurrence of hemorrhage during thrombolysis and within 24 hours after thrombolysis. Immediate brain CT/MRI examination should be conducted when the amount of peripheral hemorrhage increases, and when continuous hemorrhage or the neurological symptoms deteriorate, so as to evaluate the extent of disease changes in a timely manner, as shown in Figures 2 and 3.
The results of this study showed that the systolic blood pressure before thrombolysis in the hemorrhage group was significantly higher than that in the non-hemorrhage group, indicating that high systolic blood pressure before thrombolysis was closely related to the risk of hemorrhage after intravenous thrombolysis, which was similar to a previous study (18). Studies have reported that an excessive increase of systolic blood pressure can lead to further damage of brain cells in infarct tissues, damage of the blood-brain barrier, and intracranial hemorrhage (19). Recent studies have also shown that increased systolic blood pressure before thrombolysis in patients with AIS leads to an increased risk of intracranial hemorrhage after thrombolysis (20). In this study, 25 patients in the hemorrhage group were treated with nitroglycerin or urapidil to control their blood pressure before thrombolysis. Therefore, clinical nurses should strengthen the observation of patients’ blood pressure and administer drugs in a timely manner and in strict accordance with the doctor’s advice, so as to control blood pressure in the safe range during peri-intravenous thrombolysis, reduce the risk of hemorrhage after thrombolysis, and improve the prognosis of patients.
Some researchers have investigated the risk factors of intracranial hemorrhage during intravenous thrombolytic therapy in ischemic stroke patients with platelet count <100×109/L. The results showed that patients with thrombocytopenia had a higher risk of intracranial hemorrhage than patients with normal platelets (21,22). In China, thrombolysis is contraindicated for platelet count <100×109/L in the guidelines for the diagnosis and treatment of AIS. The results of this study showed that the platelet count before thrombolysis in the hemorrhage group was lower than that in the non-hemorrhage group, indicating that the platelet count before thrombolysis can be used as a monitoring index to evaluate the risk of hemorrhage after intravenous thrombolysis. Some studies have reported that the mean platelet volume and platelet distribution width before and after thrombolysis in patients with hemorrhage after intravenous thrombolysis are related to hemorrhage after thrombolysis, which can be further examined in future clinical studies (23).
Antiplatelet drugs are a secondary drug that are commonly used in the clinical prevention of ischemic stroke. Studies have shown that in stroke patients receiving antiplatelet drugs, the safety and efficacy of intravenous rt-PA thrombolysis is superior to that without intravenous thrombolysis. Intravenous rt-PA is recommended in AIS patients (24). Multiple studies have also shown that the use of antiplatelet agents does not lead to an increased incidence of hemorrhage after intravenous thrombolysis (25-27). However, recent studies have shown that patients with a history of antiplatelet medications have an increased incidence of intracranial hemorrhage, and that patients on antiplatelet medications have a poor prognosis at 90 days (28). This study showed that the number of cases using antiplatelet agents before intravenous thrombolysis in the hemorrhage group was significantly higher than that in the non-hemorrhage group, in which 3 patients had intracranial hemorrhage. These results indicate that the use of antiplatelet agents prior to intravenous thrombolysis may increase the risk of hemorrhage after thrombolysis, suggesting that for patients with intravenous thrombolysis and a history of antiplatelet drugs, medical staff should pay close attention to the occurrence of hemorrhage, identify patients with high hemorrhage risk as soon as possible, and take targeted preventive measures in time to improve the safety of thrombolytic therapy.
In addition, the results of this study showed that the duration of emergency stay in the hemorrhage group was longer than that in the non-hemorrhage group, which may be related to the need for immediate reexamination, hemostasis measures, and blood pressure control in the hemorrhage group. The patients were admitted to the Department of Neurology for further observation and treatment after their condition was stable.
The results of this study indicated that systolic blood pressure, platelet count, atrial fibrillation, and antiplatelet drugs before thrombolysis were independent risk factors for hemorrhage after intravenous thrombolysis in AIS patients. The degree of sensitivity from high to low was: atrial fibrillation, systolic blood pressure before thrombolysis, platelet count, and antiplatelet drugs. These factors can be used as early warning indexes for emergency nurses to evaluate the risk of hemorrhage after intravenous thrombolysis. These data can also provide a practical basis for clinical nurses to monitor the patient’s condition and perform nursing intervention in a timely manner.
Acknowledgments
Funding: This study was supported by the National Natural Science Foundation of China Youth (81801893), the Nantong Clinical Medicine Research Center (HS2019005 and HS2020001), the Nantong scientific projects (MS12020006 and MS12020017), and Nantong Basic Science Research Project (JC2020043).
Footnote
Reporting Checklist: The authors have completed the STROBE reporting checklist. Available at http://dx.doi.org/10.21037/apm-21-1200
Data Sharing Statement: Available at http://dx.doi.org/10.21037/apm-21-1200
Conflicts of Interest: All authors have completed the ICMJE uniform disclosure form (available at http://dx.doi.org/10.21037/apm-21-1200). The authors have no conflicts of interest to declare.
Ethical Statement: The authors are accountable for all aspects of the work in ensuring that questions related to the accuracy or integrity of any part of the work are appropriately investigated and resolved. All procedures performed in this study involving human participants were in accordance with the Declaration of Helsinki (as revised in 2013). The study was approved by ethics board of Affiliated Hospital of Nantong University (No.: 2019-K003 the registration number of ethics board). Individual consent for this retrospective analysis was waived.
Open Access Statement: This is an Open Access article distributed in accordance with the Creative Commons Attribution-NonCommercial-NoDerivs 4.0 International License (CC BY-NC-ND 4.0), which permits the non-commercial replication and distribution of the article with the strict proviso that no changes or edits are made and the original work is properly cited (including links to both the formal publication through the relevant DOI and the license). See: https://creativecommons.org/licenses/by-nc-nd/4.0/.
References
- Roger VL, Go AS, Lloyd-Jones DM, et al. Heart disease and stroke statistics-2011 update: a report from the American Heart Association. Circulation 2011;123:e18-e209. [Crossref] [PubMed]
- Jauch EC, Saver JL, Adams HP Jr, et al. Guidelines for the early management of patients with acute ischemic stroke: a guideline for healthcare professionals from the American Heart Association/American Stroke Association. Stroke 2013;44:870-947. [Crossref] [PubMed]
- Powers WJ, Rabinstein AA, Ackerson T, et al. 2018 Guidelines for the Early Management of Patients With Acute Ischemic Stroke: A Guideline for Healthcare Professionals From the American Heart Association/American Stroke Association. Stroke 2018;49:e46-e110. [Crossref] [PubMed]
- Meretoja A, Strbian D, Mustanoja S, et al. Reducing in-hospital delay to 20 minutes in stroke thrombolysis. Neurology 2012;79:306-13. [Crossref] [PubMed]
- Van Schaik SM, Van der Veen B, Van den Berg-Vos RM, et al. Achieving a door-to-needle time of 25 minutes in thrombolysis for acute ischemic stroke: a quality improvement project. J Stroke Cerebrovasc Dis 2014;23:2900-6. [Crossref] [PubMed]
- Hacke W, Kaste M, Bluhmki E, et al. Thrombolysis with alteplase 3 to 4.5 hours after acute ischemic stroke. N Engl J Med 2008;359:1317-29. [Crossref] [PubMed]
- Seet RC, Rabinstein AA. Symptomatic intracranial hemorrhage following intravenous thrombolysis for acute ischemic stroke: a critical review of case definitions. Cerebrovasc Dis 2012;34:106-14. [Crossref] [PubMed]
- Yaghi S, Willey JZ, Cucchiara B, et al. Treatment and Outcome of Hemorrhagic Transformation After Intravenous Alteplase in Acute Ischemic Stroke: A Scientific Statement for Healthcare Professionals From the American Heart Association/American Stroke Association. Stroke 2017;48:e343-e361. [Crossref] [PubMed]
- Trouillas P, von Kummer R. Classification and pathogenesis of cerebral hemorrhages after thrombolysis in ischemic stroke. Stroke 2006;37:556-61. [Crossref] [PubMed]
- . National Institute of Neurological Disorders and Stroke rt-PA Stroke Study Group. Tissue plasminogen activator for acute ischemic stroke. N Engl J Med 1995;333:1581-7. [Crossref]
- Wang R, Zeng J, Wang F, et al. Risk factors of hemorrhagic transformation after Intravenous thrombolysis with rt-PA in acute cerebral infarction. QJM 2019;112:323-6. [Crossref] [PubMed]
- Asberg S, Henriksson KM, Farahmand B, et al. Ischemic stroke and secondary prevention in clinical practice: a cohort study of 14, 529 patients in the Swedish Stroke Register. Stroke 2010;41:1338-42. [Crossref] [PubMed]
- Lee JG, Lee KB, Jang IM, et al. Low glomerular filtration rate increases hemorrhagic transformation in acute ischemic stroke. Cerebrovasc Dis 2013;35:53-9. [Crossref] [PubMed]
- Dorňák T, Král M, Sedláčková Z, et al. Predictors for Intracranial Hemorrhage Following Intravenous Thrombolysis in Posterior Circulation Stroke. Transl Stroke Res 2018;9:582-8. [Crossref] [PubMed]
- Lee JH, Park KY, Shin JH, et al. Symptomatic hemorrhagic transformation and its predictors in acute ischemic stroke with atrial fibrillation. Eur Neurol 2010;64:193-200. [Crossref] [PubMed]
- Liu YL, Lu JK, Yin HP, et al. High neutrophil-to-lymphocyte ratio predicts hemorrhagic transformation in acute Ischemic stroke patients treated with intravenous thrombolysis. Int J Hypertens 2020;2020:5980261 [Crossref] [PubMed]
- Lin X, Cao Y, Yan J, et al. Risk factors for early intracerebral hemorrhage after intravenous thrombolysis with alteplase. J Atheroscler Thromb 2020;27:1176-82. [Crossref] [PubMed]
- Waltimo T, Haapaniemi E, Surakka IL, et al. Post-thrombolytic blood pressure and symptomatic intracerebral hemorrhage. Eur J Neurol 2016;23:1757-62. [Crossref] [PubMed]
- Rusanen H, Saarinen JT, Sillanpaa N. The association of blood pressure and collateral circulation in hyperacute ischemic stroke patients treated with intravenous thrombolysis. Cerebrovasc Dis 2015;39:130-7. [Crossref] [PubMed]
- Mokin M, Kass-Hout T, Kass-Hout O, et al. Blood pressure management and evolution of thrombolysis-associated intracerebral hemorrhage in acute ischemic stroke. J Stroke Cerebrovasc Dis 2012;21:852-9. [Crossref] [PubMed]
- Gensicke H, Al Sultan AS, Strbian D, et al. Intravenous thrombolysis and platelet count. Neurology 2018;90:e690-e697. [Crossref] [PubMed]
- Landais A, Ginoux C. Intravenous thrombolysis for acute ischemic stroke in a patient receiving rivaroxaban. J Stroke Cerebrovasc Dis 2015;24:e73-4. [Crossref] [PubMed]
- Xie D, Xiang W, Weng Y, et al. Platelet volume indices for the prognosis of acute ischemic stroke patients with intravenous thrombolysis. Int J Neurosci 2019;129:344-9. [Crossref] [PubMed]
- Zinkstok SM, Beenen LF, Majoie CB, et al. Early deterioration after thrombolysis plus aspirin in acute stroke: a post hoc analysis of the Antiplatelet Therapy in Combination with Recombinant t-PA Thrombolysis in Ischemic Stroke trial. Stroke 2014;45:3080-2. [Crossref] [PubMed]
- Tsivgoulis G, Katsanos AH, Zand R, et al. Antiplatelet pretreatment and outcomes in intravenous thrombolysis for stroke: a systematic review and meta-analysis. J Neurol 2017;264:1227-35. [Crossref] [PubMed]
- Pan X, Zhu Y, Zheng D, et al. Prior antiplatelet agent use and outcomes after intravenous thrombolysis with recombinant tissue plasminogen activator in acute ischemic stroke: a meta-analysis of cohort studies and randomized controlled trials. Int J Stroke 2015;10:317-23. [Crossref] [PubMed]
- Meseguer E, Labreuche J, Guidoux C, et al. Outcomes after stroke thrombolysis according to prior antiplatelet use. Int J Stroke 2015;10:163-9. [Crossref] [PubMed]
- Khazaei M, Davoodian A, Taheri M, et al. Former antiplatelet drug administration and consequences of intravenous thrombolysis in acute ischemic stroke. Hum Antibodies 2020;28:53-6. [Crossref] [PubMed]
(English Language Editor: C. Betlazar-Maseh)




