The influence of methadone on cerebral gray matter and functional connectivity
Introduction
Since physicians in the United States first used methadone to treat opioid addiction in the 1960s, the use of methadone maintenance treatment (MMT) to treat it and heroin use disorder has increased globally. Clinical studies (1,2), and questionnaires (3) have proven that MMT is effective in reducing the cravings of chronic heroin use disorder patients. Moreover, long-term MMT can effectively reduce the use of drugs, increase the withdrawal rate of heroin use disorder, reduce related criminal behaviors, reduce the spread of related infectious diseases, and alleviate mental problems such as depression (4). However, as a synthetic opioid, methadone can induce neuronal changes in the brain of users in addition to its therapeutic effect, and increasing evidence suggests long-term use may have negative effects on the brain structure, metabolism, function, and neuropsychological state of heroin users.
Previous literature has reported that the long-term use of opioids can cause certain toxic effects on nerves. Some studies have shown that long-term cocaine use leads to damage to the gray matter (GM) of the cerebellum (5), and that abnormalities in human brain structure, function, and metabolism may be caused by heroin use (6,7). In addition, the duration of opioid dependence and maintenance therapy has been found to be the main variable leading to attention and cognitive impairment in executive function areas (8). Previous studies have shown that long-term use of methadone can have a negative effect on the brain. Compared with a control group, MMT patients showed significant reductions in attention, information processing, short-term visual memory, short-term speech memory, delayed visual memory, long-term speech memory, and problem solving (9). In a lateral contrast study, dopamine transporter uptake in the bilateral caudate nucleus and putamen of MMT patients was lower than in healthy controls (10), and studies on the effects of methadone on white matter showed fractional anisotropy (FA) decreased significantly, Axial diffusivity (AD) decreased, and radial diffusivity (RD) increased in a wide range of white matter after MMT treatment (11). However, in many of these studies, cross-transverse methods were used, and all the subjects had used heroin, rendering it difficult to establish baseline data for determining the neurotoxic effects of methadone.
Structure magnetic resonance imaging (sMRI) provides non-invasive in vivo studies of brain structures. In the past few decades, the development of many automated techniques for analyzing structural MRI data (12-14) has contributed to the proliferation of research on neuroanatomical-based neurological and psychiatric disorders. The automation techniques used to analyze structured brain images are diverse, and the most widely used is voxel-based morphometry (VBM). This method involves the local volume or concentration of gray and white matter between groups of subjects (15,16), and in recent years has been widely used in the study of brain structure in addicts. Yuan et al. found that the GM density of the right dorsolateral prefrontal cortex was reduced in heroin use disorder (17), and in a study on the use of VBM for internet addiction, Zhou et al. found that compared with a control group, adolescents with internet addiction had reduced GM density in the left anterior cingulate gyrus, insular, posterior cingulate, and occipital lingual gyrus (18). However, the methods used in both of these studies focused on an effect in a regional brain area in isolation, making it difficult to generalize the findings and develop a deeper understanding of the effect of long term MMT. Resting state fMRI has gradually become a stable means of detecting functional network indicators. Functional connectivity reflects the changes of interaction between different regions of the brain and has always been an important aspect of biomarker related research. The previous region of interest (ROI) method has shortcomings, as it involves some subjectivity in producing the results, and depending on the choice of ROI, choosing different brain regions as ROIs may lead to different conclusions. Research based on a certain brain region does not fully reflect the interactions between brain regions. Therefore, this study selected significantly different brain regions based on VBM results as ROI, then performed function connection analysis, which will help us further deepen our understanding of the effects of long-term MMT use on brain structural damage and neural networks.
In view of existing problems in the MMT process, this study adopted a longitudinal self -control design to explore the neural effects of long-term MMT. We speculate the long-term use of methadone may affect the brain structure, resting state function, and neuropsychological state of patients with heroin use disorder, and the degree of this effect is related to the dosage and duration of methadone use. We present the following article in accordance with the STROBE reporting checklist (available at https://dx.doi.org/10.21037/apm-21-2012).
Methods
Selection of subjects
Patients with heroin use disorder (N=50) who received MMT treatment were recruited into the study. Longitudinal self-control was adopted, and differences in cerebral GM volume and functional connectivity before and after 1 year of methadone use were compared. All patients were recruited from the methadone maintenance clinic in Baqiao District of Xi’an City from 2012 to 2013, were informed of the experiment, and provided written informed consent. After strict screening for inclusion and exclusion criteria, all patients voluntarily received long-term stable MMT. All procedures performed in this study involving human participants were in accordance with the Declaration of Helsinki (as revised in 2013). The study was approved by the ethics committee of Tangdu Hospital of the Air Force Medical University (No:TDLL-2013028) and informed consent was taken from all the patients.
The inclusion criteria were as follows: (I) patients met the criteria of heroin use disorder in DSM-V; (II) the age range was 18–50 years old; (III) the duration of MMT was at least six months and the duration of stable use methadone was maintained for at least one month; (IV) the subjects were right-handed through the evaluation of a handedness questionnaire (19). The exclusion criteria were any of the following: (I) hyperactivity or poor compliance; (II) cardiac insufficiency; (III) abuse of drugs other than heroin; (IV) any history of active neurological disease such as schizophrenia, bipolar disorder, or sleep disorder; (V) claustrophobia; (VI) epilepsy, vascular headache brain tumor, chronic encephalitis, or brain edema.
Neuropsychological evaluation
As drug addiction is often accompanied by a variety of mental problems, such as depression and anxiety, two doctors first screened patients using the Beck Depression Inventory (BDI) (20) to evaluate the depression state of all patients, and the Hamilton Anxiety Scale (HAMA) (21) to evaluate their anxiety state.
Follow up and grouping
All heroin use disorder patients received methadone daily for 1 year at a methadone clinic, with dosage determined by the clinic physician based on the patient’s condition. A longitudinal self-control method was used to collect data at the beginning of the experiment and after 1-year of MMT treatment. Details of the previous heroin and MMT use were recorded, and follow-up communication and urine morphine tests were conducted monthly. The preliminary screening of gold standard screening kit is the most used drug testing method at present, and can screen drugs such as morphine, amphetamine, methamphetamine, marijuana, cocaine, ecstasy, and k powder, and we used this kit to monitor patients for relapse. To increase compliance, a psychologist was made available on a regular basis to provide counseling for patients. According to the time of data collection, we defined the first data collection as the S1 group and the second as the S2 group.
MRI scanning parameters
All MRI data were collected on a 3.0 GE scanner (GE Healthcare. Milwaukee, USA) equipped with eight channel head coils and T2-weighted images were used to exclude organic brain lesions visible to the naked eye. The scanning parameters were repetition time (TR) =5,100 ms, echo time (TE) =117 ms, slice thickness =5.5 mm, slice interval =0.8 mm, field of view (FOV) =240 mm × 240 mm, matrix =416×416, and scan time of 1 minute 47 seconds.
T1-weighted scans were obtained with a standard three-dimensional Fast Spin Gradient Sequence (FSPGR) with 166 contiguous slices of 1 mm thickness across the entire brain, TR =7.8 ms, TE =3 ms, TI =450 ms, flip angle =20°, FOV =25.6 cm × 25.6 cm, matrix =256×256, NEX =1, and scanning time 7 min 10 s.
Data acquisition in the resting state saw a T2* weighted gradient spin EPI sequence used, and the scanning parameters were TR 2,000 ms, TE 30 ms, FA 90°, FOV 256×256, slice thickness 5.0 mm, slice interval 0 mm, matrix 64×64, duration 5 min 10 s, and slice number 30. Before data acquisition in the resting state, each patient was pre-scanned for 1 minute subject to the following instructions; “Please open your eyes and look at the “+” words on the projection screen, keep calm and quiet, do not sleep, do not think about other things, and keep your head still”.
Data processing
GM volume analysis
VBM analysis was conducted using the SPM8 (http://www.fil.ion.ucl.ac.uk/spm)Vbm8 software package (http://dbm.neuro.uni-jena.de/vbm). Using the “new segment” toolbox in SPM8, images were first segmented into GM, white matter (WM), and cerebrospinal fluid (CSF), then the DARTEL (Diffeomorphic Anatomical Registration Through Exponentiated Lie Algebra) toolkit was used to create brain templates for specific populations. This process generates a template using all registered images of rigid bodies. All images were then repeatedly registered to their average template to create an average whole brain template. Using the template finally generated by DARTEL, the GM and white matter images of each subject were registered to the MNI (Montreal neurological institute) space and resampled to a size of 1.5×1.5×1.5 mm3. The image was smoothed with a Gaussian filter of 8 mm full-width half-maximum kernels and the voxel-by-voxel comparisons of GM volume were performed between S1 and S2 groups using the pair t-test. The results were thresholded with P<0.01 and corrected with multiple comparisons using false discovery rate (FDR).
Image processing of resting function
DPARSF (data processing assistant for resting state fMRI) software was used, and the specific steps included: (I) data preprocessing: the image format was first transformed, then the time slice correction was carried out. Because all scanning layers are not obtained at a time point in the whole scanning process, time correction was needed for images of different layers of the whole brain. Head movement correction was then conducted, because of inevitable physiological factors (such as breathing and the heartbeat) that cause head movement in the process of data collection. In addition, fMRI images and T1WI high-resolution anatomical images were registered. To overcome the individual differences of time, the brain requires standardization, and in this study, the EPI template was used for this. Finally, the data was smoothed, and the full width at half maximum (FWHM) selected as 8 mm. The data after standardization was processed by linear drift and filtering, and the filtering range was 0.01–0.08 Hz. (II) Functional connection calculation: based on the results of GM volume analysis, using rest (rest state fMRI data analysis toolkit) software, ten brain regions that had differences in GM volume before and after MMT treatment for 1 year were used to generate mask files, and these were used to define the ROI and make full brain functional connection, respectively.
Scanning and processing staff identified the participants only by the investigator number and were not involved in the intervention process.
Statistics
Demographic data
Analysis of neuropsychological scores between the two scans (S1 vs. S2) was performed by paired t-test. Using SPSS 16.0 software (SPSS Inc., Chicago, IL, USA), the statistical threshold was set at P<0.05.
Comparison of brain structure data
Comparison of cerebral GM volume between the two scans (S1 vs. S2) was analyzed by paired t-test in SPM8.
Correlation analysis
To further explore the relationship between cerebral GM volume and methadone use, the GM volume of brain regions with differences between groups was extracted, and the partial correlation analysis method was used to analyze this and the duration and dose of MMT. The age, gender, years of education, and duration and dose of heroin use were used as covariates and analyzed using SPSS 16.0 software.
Comparison of functional connection
To monitor differences in brain functional connections before and after MMT, 10 brain regions with different GM volume before and after 1 year of MMT treatment were selected as ROI. Paired t test was used, and the threshold was P<0.01 (FDR correction), using rest software for statistical analysis.
Results
Demographic and clinical characteristics statistics
A total of 50 patients were recruited to participate in this study between 2012 and 2013. Twelve patients were unable to continue due to illness or financial problems, while eight were excluded due to VBM data head movement or T2WI signal abnormality, leaving 30 patients in the study. The demographic data, and heroin and MMT usage of patients are shown in Table 1, and the results of neuropsychological assessment (BDI, HAMA score) are shown in Table 2.
Table 1
| Demographic characteristics | MMT (N=30) |
|---|---|
| Age (year) | 34.6±8.1 |
| Gender (M/F) | 28/2 |
| Years of education (year) | 9.2±2.4 |
| Smoking amount (cigarettes/day) | 18.8±5.2 |
| Smoking time (year) | 16.6±8.6 |
| Total amount of heroin used in the past (g) | 923.9±1,510.8 |
| Previous heroin use (months) | 69.9±64.5 |
| Total amount of methadone used in the past (mg) | 36,122.9±30,526.8 |
| Previous methadone use time (month) | 26.7±17.62 |
| Daily dose of methadone maintenance therapy (mg/day) | 44.6±16.1 |
| Heroin use between scans | |
| Proportion of heroin use (users/non-users) | 17/13 |
| Average heroin use | 3.3±3.6 |
| Average heroin use (g) | 1.1±1.3 |
MMT, methadone maintenance treatment.
Table 2
| Index | S1 (N=30) | S2 (N=30) |
|
P value |
|---|---|---|---|---|
| BDI scores | 9.23±7.96 | 8.80±9.74 | 0.46 | 0.65 |
| HAMA scores | 7.70±10.92 | 9.83±10.64 | −2.36 | 0.03* |
*, P<0.05. MMT, methadone maintenance treatment.
Results of volume comparison
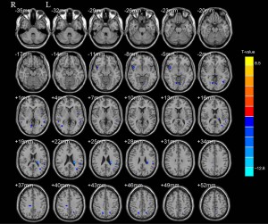
Compared with the beginning of methadone treatment, the volume of GM in some brain areas of MMT patients decreased after 1 year of maintenance treatment. Areas affected were mainly in the bilateral insular lobe, occipital lingual gyrus, right cingulate gyrus, superior temporal gyrus, left inferior parietal lobule, caudate nucleus, middle temporal gyrus, and middle occipital gyrus (FDR correction, P<0.01). No increased GM volume was seen in any brain area (Table 3, Figure 1).
Table 3
| Brain area | BA | L/R | MNI coordinates |
|
Clusters | ||
|---|---|---|---|---|---|---|---|
| x | y | z | |||||
| Insular | 13 | R | 44 | 11 | −6 | −9.33 | 201 |
| Occipital lingual gyrus | 18 | R | 12 | −68 | −3 | −7.83 | 136 |
| Superior temporal gyrus | 22 | R | 57 | −44 | 3 | −9.64 | 50 |
| Posterior cingulate gyrus | 31 | R | 15 | −27 | 38 | −7.77 | 113 |
| Occipital lingual gyrus | 18 | L | −6 | −71 | −3 | −7.41 | 88 |
| Fusiform gyrus | 37 | L | −42 | −62 | −14 | −7.26 | 76 |
| Inferior parietal lobule | 40 | L | −54 | −35 | 27 | −9.15 | 178 |
| Insular | 13 | L | −42 | −2 | 3 | −7.42 | 76 |
| Occipital gyrus | – | L | −33 | −63 | 18 | −8.98 | 145 |
| Caudate | – | L | −26 | −29 | 24 | −14.13 | 366 |
MMT, methadone maintenance treatment; BA, Brodmann area; L, left; R, right.
Correlation analysis
Partial correlation analysis showed that after 1 year of MMT, the left caudate nucleus volume and MMT dose showed negative correlation (r=−0.435, P=0.026), as did the left occipital gyrus volume and MMT dose (r=−0.406, P=0.040) (Figures 2,3).
Results of function connection
Brain regions where change was seen in the volume of GM changed before (S1) and 1 year after MMT (S2) were defined as ROI, and their functional connections evaluated and corrected by FDR (P<0.01). Compared with S1, S2 showed reduced functional connectivity between the right posterior cingulate gyrus/left superior frontal gyrus, left caudate nucleus/right superior temporal gyrus/right inferior parietal lobule, left middle temporal gyrus/bilateral posterior cingulate gyrus/right posterior central gyrus, left middle occipital gyrus/bilateral superior occipital gyrus, and left middle occipital gyrus/right cuneus. Instead, an enhanced functional connectivity was found between the left caudate nucleus/cerebellar vermis, left caudate nucleus/right caudate nucleus head, left middle temporal gyrus/left superior temporal gyrus, left middle temporal gyrus/insula, and left middle occipital gyrus/left parahippocampal gyrus (Table 4).
Table 4
| ROI | L/R | Brain Regions | BA | MNI coordinate |
|
Cluster | ||
|---|---|---|---|---|---|---|---|---|
| x | y | z | ||||||
| R posterior cingulate gyrus | L | Superior frontal gyrus | 8 | −18 | 48 | 45 | −6.99 | 15 |
| L caudate nucleus | – | Vermis of cerebellum | – | 0 | −72 | −30 | 7.22 | 89 |
| R | Caudate nucleus head | – | 6 | 9 | −6 | 6.69 | 41 | |
| R | Superior temporal gyrus | 48 | −42 | 15 | −7.30 | 53 | ||
| R | Inferior parietal lobule | 40 | 51 | −60 | 48 | −6.09 | 53 | |
| L fusiform gyrus | L | Insular lobe | 13 | −33 | −9 | 18 | 6.77 | 200 |
| L | Superior temporal gyrus | 22 | −54 | −9 | 6 | 6.58 | 104 | |
| L/R | Posterior cingulate gyrus | 23 | 15 | −36 | 21 | −7.26 | 133 | |
| R | Postcentral gyrus | 6 | 42 | −10 | 36 | −5.94 | 61 | |
| L occipital gyrus | R | Parahippocampal gyrus | 36 | −39 | −30 | −15 | 6.38 | 45 |
| L/R | Superior occipital gyrus | 19 | 21 | −84 | 30 | −7.88 | 815 | |
| R | Cuneus | 18 | ||||||
Discussion
We evaluated the MRI data of patients undergoing MMT prior to the commencement of therapy and 1 year later. Through longitudinal self-control, the GM structure and neural network changes in the brain that may be caused by long-term MMT were analyzed.
GM changes
The results showed that long-term MMT reduced GM volume in multiple brain regions, including the bilateral island lobe, occipital lingual gyrus, right superior temporal gyrus, cingulate gyrus, left inferior parietal lobe, caudate nucleus, middle temporal gyrus, and occipital gyrus. In addition, a negative correlation between the volume of the left caudate nucleus and the middle occipital gyrus and the dose of methadone was found.
The results also showed that methadone led to a reduction of GM volume in the insular lobe, which is a part of the limbic system, and not only participates in the acquisition of basic information and perceptual information, but also in the perception process of some advanced emotions. In recent years, with the widespread use of fMRI, studies have shown that the insular lobe is involved in internal perception, and is related to emotion, addiction, language, and other functions. Naqvi et al. found that damage to the insular lobe can lead to the interruption of tobacco addiction (22), and Wisner et al. found that the internal network connectivity of cocaine users, including the anterior insular lobe and anterior cingulate cortex, was significantly weaker than that of a control group (23). In addition, it was found that after a series of treatments, the activation reactivity of fMRI in the insular lobe, anterior cingulate gyrus, marginal zone, and frontal lobe decreased significantly compared with that seen before treatment (24). The above results suggest that the insular lobe is related to addiction and is involved in its formation and maintenance. Studies on the brain structure of addicts have shown that their insular lobe was damaged, and one study found that teenagers with internet addiction had reduced GM density in the left anterior cingulate gyrus, posterior cingulate gyrus, insular lobe and lingual gyrus of the occipital lobe (18). In addition, Yuan et al. found that the volume of bilateral insular GM decreased in heroin use disorder (25). The results of the present study show that after 1 year of MMT, the volume of bilateral insular GM decreased, indicating that methadone had a damaging effect on cerebral GM.
The cingulate gyrus is an important part of the limbic system, and studies have shown that the posterior cingulate cortex (PCC) plays an important role in material dependence. Li et al. found that in the cue-induced craving task, activation of the PCC in heroin use disorder was significantly higher than in a healthy group (26), which shows it is related to the experience of drug dependence. The PCC contains neurons that monitor eye movement and respond to sensory stimuli, and is related to spatial positioning and memory (27). The PCC is mainly related to the posterior parietal and dorsolateral prefrontal cortex, lateral posterior nucleus of the thalamus, medial occipital nucleus, and the lateral olfactory nucleus, and plays an important role in spatial information processing (28). At the same time, the PCC and inferior parietal lobule are important components of the default network and participate in the addiction process. A study on the structure and connection of default network functions showed that in heroin-dependent individuals, the FA decreased and Mean diffusivity(MD) increased in the tract connecting the PCC and the cuneus (PCC/PCUN) to the right parahippocampal gyrus, and functional connectivity between bilateral subapical lobules, the posterior cingulate, and the parahippocampal gyrus decreased (29). The inferior parietal lobule is mainly involved in working memory and attention. The results of the present study showed that after 1 year of MMT treatment, the volume of the posterior cingulate and inferior parietal lobule decreased, indicating MMT had a certain damage effect on both the posterior cingulate and inferior parietal lobule, and that this damage may be associated with addiction symptoms and long-term behavioral cognitive abnormalities in the course of MMT.
The occipital lingual gyrus is the visual cortex, which is involved in spatial orientation. Through spatial memory tasks, studies have shown that when exposed to visual cues, the response to spatial working memory in the right dorsolateral prefrontal and occipital cortices is reduced in marijuana addicts (30). In the present study, we found that during MMT, the volume of GM in the lingual gyrus decreased, indicating that methadone, as a synthetic opioid drug, could also damage the lingual gyrus.
Functional connection changes
Increasing evidence shows that substance dependence produces not only an abnormal change in a single brain area but causes an imbalance in the system-level interaction between multiple brain areas (31). We found long-term methadone use caused the resting state neural network of patients to change, mainly involving a weakening of the control circuit and visual attention-related network functional connection, while the functional connection of working memory loops were enhanced. This result is consistent with our hypothesis that long-term methadone use may damage the GM structure of the brain and produce abnormal functional connection patterns. We speculate this change is a neuroadaptation caused by long-term MMT and may be one of the neurobiological bases of relapse during MMT.
We also found the functional connection between the left caudate nucleus/right inferior parietal lobule and left middle temporal gyrus/bilateral posterior cingulate gyrus was weakened. The inferior parietal lobules and posterior cingulate gyrus are important components of the DMN, which is a large-scale interactive network system in which activity increases in the resting state, but decreases when performing a task (32). The DMN plays an important role in attention, self-examination, and introspective thinking. A task-based meta-analysis of studies showed that changes in functional connectivity of the DMN have been reported in many neuropsychiatric disorders such as schizophrenia, ADHD, depression, anxiety, autism, and Alzheimer’s disease (33). In addition, selective vulnerability of the posterior cingulate and precuneus was observed under conditions such as carbon monoxide poisoning (acute hypoxia), diffuse cerebral hemorrhage, and Alzheimer’s disease (34). However, significant differences were seen in the functional connection of the left caudate nucleus/right inferior parietal lobule and left middle temporal gyrus/bilateral posterior cingulate gyrus in this study before and after 1 year of MMT use, which suggests long-term methadone use leads to neuro-adaptive changes in the DMN network, and this abnormal network connection pattern may lead to attention bias in heroin use disorder and trigger drug craving.
The prefrontal lobe area plays an important role in self-control. This study found that the functional connection between the right posterior cingulate gyrus/left superior frontal gyrus was weakened, which is consistent with the results of previous studies. Using VBM, Yuan et al. found that the density of the dorsolateral prefrontal GM and the functional connection between the dorsolateral prefrontal lobe and inferior parietal lobule were reduced in heroin use disorder (17). In the present study, the visual attention related network (left middle occipital gyrus/superior bilateral occipital gyrus and left middle occipital gyrus/right cuneus) changed after 1 year of MMT. On this basis, we believe that long-term methadone use may decrease the ability to exercise self-control and induce visual attention bias, leading to relapse behavior.
According to Professor Volkow’s drug dependence model, in a drug dependence state, the anticipation of drugs in the reward, motivation, and memory loops exceeds the inhibitory ability of the control loop. Therefore, drug use promotes the formation of positive feedback. Moreover, activation of the motivation/drive loop and memory loop promotes the continuity of this positive feedback (35). The superior temporal gyrus and para hippocampal gyrus are related to working memory. This study found that after 1 year of MMT treatment, the functional connectivity of the left middle temporal gyrus/left superior temporal gyrus and left middle occipital gyrus/left parahippocampal gyrus was enhanced, indicating the anticipatory effect of drugs in the memory circuit is enhanced during the treatment of MMT.
Changes in psychological indicators
We found the HAMA score of patients after 1 year of MMT was greater than that before MMT, which indicates that the anxiety of patients increased during methadone treatment. We speculate that chronic methadone use causes damage to the GM structure of the brain, thereby causing corresponding neuropsychological changes, which is similar to the results of previous studies on heroin use disorder. Wong et al. found that compared with a control group, heroin use disorder patients had higher anxiety and depression scores (36).
Conclusions
This study has certain clinical value. By using a longitudinal self-control method and VBM combined with resting state functional connection, it proved that long-term methadone use can change brain structures and functional connections, and that the neuropsychology of patients also changes during this process. These results suggest that although MMT has significant clinical effects, it is still necessary to monitor the brain structure, neural network, and psychological changes of patients using it.
However, this study has certain limitations. During the one-year follow-up, several patients were lost to follow up as some were unable to continue participating in the research due to illness or economic problems. In future research, we will strengthen the contact between participants and researchers to reduce the loss rate. In addition, only two female subjects were included in this study, accounting for only two of the 30 patients, and it is not clear whether gender differences affect the brain structure and neural network research of methadone. Previous studies have shown that the brain GM structure of opioid addicts has gender-related specificity in response to drugs (37). Therefore, in future research, it will be necessary to expand the number of subjects and balance the sex ratio.
Acknowledgments
Funding: This study was funded by National Natural Science Foundation of China (81771813 and 81401393).
Footnote
Reporting Checklist: The authors have completed the STROBE reporting checklist. Available at https://dx.doi.org/10.21037/apm-21-2012
Data Sharing Statement: Available at https://dx.doi.org/10.21037/apm-21-2012
Conflicts of Interest: All authors have completed the ICMJE uniform disclosure form (available at https://dx.doi.org/10.21037/apm-21-2012). SW reports he worked in the Canon Organization, Canon Medical Systems (China) Co., LTD, MR Division. The other authors have no conflicts of interest to declare.
Ethical Statement: The authors are accountable for all aspects of the work in ensuring that questions related to the accuracy or integrity of any part of the work are appropriately investigated and resolved. All procedures performed in this study involving human participants were in accordance with the Declaration of Helsinki (as revised in 2013). The study was approved by the ethics committee of Tangdu Hospital of the Air Force Medical University (No:TDLL-2013028) and informed consent was taken from all the patients.
Open Access Statement: This is an Open Access article distributed in accordance with the Creative Commons Attribution-NonCommercial-NoDerivs 4.0 International License (CC BY-NC-ND 4.0), which permits the non-commercial replication and distribution of the article with the strict proviso that no changes or edits are made and the original work is properly cited (including links to both the formal publication through the relevant DOI and the license). See: https://creativecommons.org/licenses/by-nc-nd/4.0/.
References
- Darke S, Ross J, Teesson M, et al. Factors associated with 12 months continuous heroin abstinence: findings from the Australian Treatment Outcome Study (ATOS). J Subst Abuse Treat 2005;28:255-63. [Crossref] [PubMed]
- Haider A, Reddy A. Levorphanol versus methadone use: safety considerations. Ann Palliat Med 2020;9:579-85. [Crossref] [PubMed]
- Li X, Tan H, Sun Z, et al. Change and influence factors of craving for patients after 6 month methadone maintenance treatment. Zhong Nan Da Xue Xue Bao Yi Xue Ban 2009;34:718-22. [PubMed]
- Lu L, Zhao D, Bao YP, et al. Methadone maintenance treatment of heroin abuse in China. Am J Drug Alcohol Abuse 2008;34:127-31. [Crossref] [PubMed]
- Moreno-López L, Perales JC, van Son D, et al. Cocaine use severity and cerebellar gray matter are associated with reversal learning deficits in cocaine-dependent individuals. Addict Biol 2015;20:546-56. [Crossref] [PubMed]
- Qiu YW, Jiang GH, Ma XF, et al. Aberrant interhemispheric functional and structural connectivity in heroin-dependent individuals. Addict Biol 2017;22:1057-67. [Crossref] [PubMed]
- Wollman SC, Alhassoon OM, Hall MG, et al. Gray matter abnormalities in opioid-dependent patients: A neuroimaging meta-analysis. Am J Drug Alcohol Abuse 2017;43:505-17. [Crossref] [PubMed]
- Davis PE, Liddiard H, McMillan TM. Neuropsychological deficits and opiate abuse. Drug Alcohol Depend 2002;67:105-8. [Crossref] [PubMed]
- Darke S, Sims J, McDonald S, et al. Cognitive impairment among methadone maintenance patients. Addiction 2000;95:687-95. [Crossref] [PubMed]
- Shi J, Zhao LY, Copersino ML, et al. PET imaging of dopamine transporter and drug craving during methadone maintenance treatment and after prolonged abstinence in heroin users. Eur J Pharmacol 2008;579:160-6. [Crossref] [PubMed]
- Li W, Li Q, Wang Y, et al. Methadone-induced Damage to White Matter Integrity in Methadone Maintenance Patients: A Longitudinal Self-control DTI Study. Sci Rep 2016;6:19662. [Crossref] [PubMed]
- Bandettini PA. What's new in neuroimaging methods? Ann N Y Acad Sci 2009;1156:260-93. [Crossref] [PubMed]
- Chung MK, Worsley KJ, Robbins S, et al. Deformation-based surface morphometry applied to gray matter deformation. Neuroimage 2003;18:198-213. [Crossref] [PubMed]
- Dell'Acqua F, Catani M. Structural human brain networks: hot topics in diffusion tractography. Curr Opin Neurol 2012;25:375-83. [Crossref] [PubMed]
- Ashburner J, Friston KJ. Voxel-based morphometry--the methods. Neuroimage 2000;11:805-21. [Crossref] [PubMed]
- Ashburner J, Friston KJ. Why voxel-based morphometry should be used. Neuroimage 2001;14:1238-43. [Crossref] [PubMed]
- Yuan K, Qin W, Dong M, et al. Gray matter deficits and resting-state abnormalities in abstinent heroin-dependent individuals. Neurosci Lett 2010;482:101-5. [Crossref] [PubMed]
- Zhou Y, Lin FC, Du YS, et al. Gray matter abnormalities in Internet addiction: a voxel-based morphometry study. Eur J Radiol 2011;79:92-5. [Crossref] [PubMed]
- Oldfield RC. The assessment and analysis of handedness: the Edinburgh inventory. Neuropsychologia 1971;9:97-113. [Crossref] [PubMed]
- Beck AT, Steer RA, Ball R, et al. Comparison of Beck Depression Inventories -IA and -II in psychiatric outpatients. J Pers Assess 1996;67:588-97. [Crossref] [PubMed]
- . HAMILTON M. The assessment of anxiety states by rating. Br J Med Psychol 1959;32:50-5. [Crossref] [PubMed]
- Naqvi NH, Bechara A. The insula and drug addiction: an interoceptive view of pleasure, urges, and decision-making. Brain Struct Funct 2010;214:435-50. [Crossref] [PubMed]
- Wisner KM, Patzelt EH, Lim KO, et al. An intrinsic connectivity network approach to insula-derived dysfunctions among cocaine users. Am J Drug Alcohol Abuse 2013;39:403-13. [Crossref] [PubMed]
- Vollstädt-Klein S, Loeber S, Kirsch M, et al. Effects of cue-exposure treatment on neural cue reactivity in alcohol dependence: a randomized trial. Biol Psychiatry 2011;69:1060-6. [Crossref] [PubMed]
- Yuan Y, Zhu Z, Shi J, et al. Gray matter density negatively correlates with duration of heroin use in young lifetime heroin-dependent individuals. Brain Cogn 2009;71:223-8. [Crossref] [PubMed]
- Li Q, Yang WC, Wang YR, et al. Abnormal function of the posterior cingulate cortex in heroin addicted users during resting-state and drug-cue stimulation task. Chin Med J (Engl) 2013;126:734-9. [PubMed]
- Vogt BA, Finch DM, Olson CR. Functional heterogeneity in cingulate cortex: the anterior executive and posterior evaluative regions. Cereb Cortex 1992;2:435-43. [Crossref] [PubMed]
- Kobayashi Y. Cingulate gyrus: cortical architecture and connections. Brain Nerve 2011;63:473-82. [PubMed]
- Ma X, Qiu Y, Tian J, et al. Aberrant default-mode functional and structural connectivity in heroin-dependent individuals. PLoS One 2015;10:e0120861 [Crossref] [PubMed]
- Schweinsburg AD, Nagel BJ, Schweinsburg BC, et al. Abstinent adolescent marijuana users show altered fMRI response during spatial working memory. Psychiatry Res 2008;163:40-51. [Crossref] [PubMed]
- Ernst M, Matochik JA, Heishman SJ, et al. Effect of nicotine on brain activation during performance of a working memory task. Proc Natl Acad Sci U S A 2001;98:4728-33. [Crossref] [PubMed]
- Raichle ME, MacLeod AM, Snyder AZ, et al. A default mode of brain function. Proc Natl Acad Sci U S A 2001;98:676-82. [Crossref] [PubMed]
- Toro R, Fox PT, Paus T. Functional coactivation map of the human brain. Cereb Cortex 2008;18:2553-9. [Crossref] [PubMed]
- Minoshima S, Giordani B, Berent S, et al. Metabolic reduction in the posterior cingulate cortex in very early Alzheimer's disease. Ann Neurol 1997;42:85-94. [Crossref] [PubMed]
- Volkow ND, Wang GJ, Fowler JS, et al. Addiction: beyond dopamine reward circuitry. Proc Natl Acad Sci U S A 2011;108:15037-42. [Crossref] [PubMed]
- Wong NM, Cheung SH, Chan CC, et al. Diffusivity of the uncinate fasciculus in heroin users relates to their levels of anxiety. Transl Psychiatry 2015;5:e554 [Crossref] [PubMed]
- Bodnar RJ, Kest B. Sex differences in opioid analgesia, hyperalgesia, tolerance and withdrawal: central mechanisms of action and roles of gonadal hormones. Horm Behav 2010;58:72-81. [Crossref] [PubMed]
(English Language Editor: B. Draper)

